ダイレクトボンディングについて

歯を出来るだけ削らず負担を抑え、
耐久性と審美性を兼ね備えた治療法
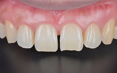
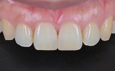
ダイレクトボンディング治療は、いくつもの種類の樹脂を歯に盛りつけ、自然歯のようにナチュラルな白さと美しさ、形を再現する治療法です。クラウンやラミネートベニア、インレーなどの補綴物と比較しても健康な歯を削る量が少なく、歯への負担を軽減できます。
補綴物は、使用環境や噛み合わせ状態が原因で、取り替えが必要になるケースがあります。そのため当院では、お口の中の治療痕・補綴物が問題ないのか、定期的に歯科医にチェックしてもらうことをオススメしています。
こんな場合はご相談ください
Trouble
- 自然な歯の色を実現したい
- 歯は削りたくない
- 耐久度が高い補綴物にしたい
- 詰め物が割れてしまった
- 早く治療を終わらせたい
- 詰め物が欠けてしまった
5つの特徴を持つ
ダイレクトボンディング
破損した場合も
修復が可能
理想的な
歯の形を実現
天然歯のような
自然で美しい
白さになる
一度の通院で
治療可能
歯を削る量が
少なく、
負担が少ない
費用
| ダイレクトボンディング (1歯あたり) |
30,000円 (税込)33,000円 |
|---|
PAYMENT
お支払方法

現金

クレジット
カード

銀行振込

デンタル
ローン
DENTAL LOAN
当院はデンタルローンに
対応しております。
ネットで簡単支払い、最短当日で審査が通るインプラントの治療費でお困りの方は、
デンタルローンをご検討されてみてはいかがでしょうか。