健康保険証は、マイナンバーカード(保険証利用)または資格確認書へ移行しております。
受診の際は、お持ち忘れのないようご注意ください。

症例|神戸市垂水区の歯医者|スター歯科クリニック垂水院

神戸市・垂水区の歯医者

受付時間 9:30~19:00(水・土 17:00まで)
休診日:日曜・祝日

BLOG ブログ

症例

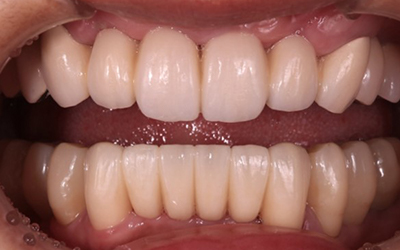
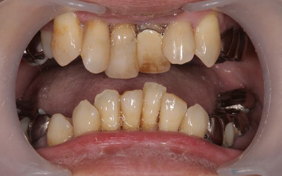
BEFORE

AFTER

施術内容 インプラントとセラミックによる被せ物のやり替え
治療期間 6ヶ月(20回)
リスク・副作用 インプラント手術後、まれに唇、舌、頬、歯肉そして歯牙の感覚マヒが一時的に発生する場合もあります。また、近接歯牙、顎、上顎洞、鼻腔に対する炎症、疼痛、過敏症、組織治癒の遅延及び顔面部の内出血(紫斑や黄斑など)が避けられない方もまれにおられます。
費用 インプラント×4歯1,480,000円(1,628,000円税込)
被せ物×12歯1,560,000円(1,716,000円税込)
合計3,040,000円(3,344,000円税込)